Being a Victim to a TBI
The most traumatic event I had ever experienced turned out to change me for the better. Most people would never understand, but in my case you can see how it changed me for the best!

At the age of 15 I was involved in a car accident that almost ended my life. I was in the passenger seat of my sister's vehicle when, while we were stopped waiting for the people in front of us to turn, we were rear-ended by another driver going 50mph. That immediately shoved us into the other lane of oncoming traffic... directly in the path of a power truck. The power truck hit my door at 50mph, crushing the entire side of the vehicle, and breaking almost everything on the right side of my body including my back. I became unresponsive at that moment. My sister who was driving was still conscious and could only sit and look at my bloody, lifeless body covered in glass.
Her first reaction was to scream for help as her first thought was “I just killed my sister.” The paramedics arrived and airlifted me to a hospital two hours away and began the first surgery while I still hadn’t come to. My jaw was broken in three places, so I needed plates put in my jaw to correct it. I was under sedation just in case I came to during the surgery, but even after the sedation wore off, I still had not come to.
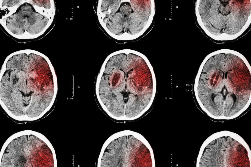
Five days went by and the doctors were unsure of why I had not woke up. Doctors decided to do another scan of my brain to see if maybe I had more than just a concussion... this is when they noticed the bleeding in the front right portion of my brain. This hospital visit transitioned into a waiting game for my family. Two more days went by, and on day eight I finally came to, and the bleeding had stopped.
After such a traumatic experience I was forced to re-learn how to walk again. I had to re-learn how to eat by myself, and had to shower with my mom again at 15 years old. I had also lost most of my memory... but I still could remember the most important people in my life. It was so traumatic re-learning how to function as an independent being. I had to be trapped in my house for a year, not able to leave to see friends or even go to school... depression set in and failed suicide attempts would occur. My life fell apart because of a careless driver. Therapy to help me walk normal again was four times a week, and a teacher would come to my house for “school” while she did all of the work for me as my hand and thumb were broken. Having a teacher talk to you and do your work for you as if you are in kindergarten was one of the most frustrating and humiliating things I had ever experienced, seeing that I’m a very independent person and I like to do things on my own.
When the next school year finally came around, I was now able and ready to start going back to school. My junior year of high school flew by, and I received all A's! Better than the year before! And after that year, my senior year was even better! I had graduated with a 4.0 GPA and a good job. At the end of the school year, I turned 18 and got settlement money for the car accident. It really wasn’t much, but it was enough for a down payment on my very own house! Now... at 18 years old. I have my own house. My own car. I graduated high school with a 4.0 GPA, and I have a great job, while I have had the love of my life move in with me, and we plan to get married in the middle of next year. It’s crazy how one can hit rock bottom in life, and with so much hard work bounce right back and enjoy such a great life, which so many desire. My accident was so terrible and I wish it had never happened... but because it did happen, it has made me such a strong person, and it has really actually made my life ten times better. It made the bond between me and my loved ones stronger, and at the same time, it showed me who all in my life really was there for me, and who all was not. I thank God everyday for my life, and I thank him for all the friends and family he blessed me with.



Comments
There are no comments for this story
Be the first to respond and start the conversation.