Dental issues and treatment (Part -I)
Dental issues and treatment

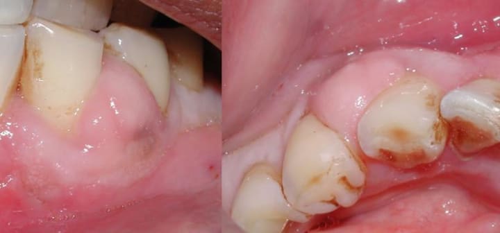
Teeth with Abscesses

An abscess in the tooth is an infection produced by a pocket of pus in the tissue around the tooth. Abscesses are highly dangerous conditions that can lead to major complications if not addressed quickly. When a tooth's pulp dies due to injury or decay, germs begin to proliferate from the dead tissue that is left behind. This bacteria will ultimately move from the decaying tooth's root into the tissue below, forming a pocket of pus - the abscess.
Gum disease can potentially cause an abscessed tooth.. Gum disorders cause the gums to move back and away from the teeth, resulting in pockets. When one of the compartments becomes blocked, germs can develop and spread or become clogged. When this happens, an abscess will form beneath the surface of the gums and will cause swelling as it grows and spreads.
Once the infection has progressed, your jawbone may begin to erode to make place for the swelling in the affected region. The pressure will be substantially lessened once the bone begins to crumble, but the infection will remain. Even if you obtain some respite, the infection will worsen and the discomfort will return. Once more of the bone has been destroyed, there will be nothing to support the tooth, causing it to become loose and require extraction.
Severe pain in the afflicted area, red or swollen gums, a terrible taste in your mouth, swelling surrounding the area or the jaw, and potentially a high temperature are all indicators of an abscessed tooth. An abscess causes terrible pain and usually has a negative impact on the region. Whatever you do, the agony appears to become worse.
Abscesses are most common in the rear teeth, although they can occur in the front as well. When a tooth becomes abscessed, your dentist will not extract it right away. If an abscessed tooth is pulled while the infection is still active, it can swiftly spread. Instead, your dentist will prescribe medicines to help eradicate the germs.
A root canal can also be performed by the dentist in order to remove dead or decaying tissue. Last but not least, he can drill a hole in the tooth to allow the infection to drain and to try to remove any dead pulp. The most typical treatment for an abscess is to take antibiotics to kill the infection before having the tooth extracted. You should never let it get so severe, as an abscess might ruin your jawbone.
An Examination of Wisdom Teeth

Wisdom teeth, also known as the third set of molars, are the last set of teeth in the mouth to erupt, usually between the ages of 17 and 25. For many years, there has been much debate about whether or not these teeth should be removed. If the teeth do not cause any discomfort or agony, they are usually OK to remain in place. They must be removed if they put you in a terrible posture or cause you a lot of pain or suffering.
When wisdom teeth first emerge, they might become impacted. Impacted teeth must usually be removed. They can sometimes be extracted, but in most cases, they must be removed by a trained surgeon. When the time comes to have your wisdom teeth pulled, you must first meet with an oral surgeon.
During the consultation, you will take x-rays to show the surgeon how terrible your wisdom teeth are. He will go through the results with you, examine your mouth, and then inform you of your alternatives. You will have the choice of having local anesthetic or IV sedation if he is going to extract or chop out your teeth. Because you'll be so comfortable, you won't realize what's going on if you have your wisdom teeth pulled under IV sedation. You will be completely aware of the process if you only use a local anesthetic, which is numbing. You'll also hear a lot of popping and cracking, which may be rather unsettling.
The removal method might range from simple to difficult depending on the shape, size, and development of wisdom teeth. If the root tips have wrapped themselves around the bone, the removal process can be lengthy and unpleasant. After the extractions are finished, there is usually little to no swelling. Your dentist will give you pain medication, which you should take as soon as you get home. You will need someone to accompany you if you use IV sedation since you will be unable to drive home.
Following the removal of your wisdom teeth, your dentist will go through what you need to do to maintain good gum and mouth healing. Normally, he will provide you with material to go through in order to ensure that you have no complications during the healing process. Someone must accompany you for the first 24 hours to ensure your safety. Certain meals will be off-limits for the first 48 hours, which is to be expected. You'll notice a significant difference in your mouth - and your health - once your wisdom teeth are extracted.

You can also try this medicine by treating it. This may be useful for you. Click on this link to order medicine and for more information :
Click here : 1) https://bit.ly/2YdAcc1
2) https://bit.ly/3Ch7gzI
Disclaimer:
The material on this website landing page is provided for informational purposes only, the content is not in any way a substitute for professional advice. Always seek the advice of your doctor or another qualified healthcare provider. Individual results may vary



Comments
There are no comments for this story
Be the first to respond and start the conversation.